无声的声波 有形的肺丨健康体检

肺,是我们身体里一对日夜不息的“风箱”,藏在胸腔深处,看不见、摸不着,却关乎每一次呼吸质量。医生是如何“看见”肺部状态的?检查方法有不少,但也各有“短板”:X线有辐射,CT不便移动,听诊器依赖医生经验……今天,我们要介绍一种既安全又便捷的“透视眼”——肺部超声。这把“声波探针”正以无辐射、实时动态、床边即查的优势,成为观察肺功能的新窗口。它不留痕迹,却能捕捉肺部细微变化。

超声是如何“看见”肺的
要理解肺部超声,大家先要明白一个核心原理:超声,是靠“回声”来成像的。
我们可以把超声探头想象成“声波喊话器”,它发出人耳听不见的高频声波。这些声波穿过皮肤、肌肉,遇到体内的组织器官后,一部分会被吸收,一部分则会反弹回来。探头再接收这些反弹回来的声波,计算机根据回声的强度、时间和方向,最终在屏幕上构建出一幅动态的黑白图像。
不过,肺部与肝脏、肾脏这类实质器官不同,内部充满气体。空气是超声的“天敌”——声波遇到肺内的空气,大部分会被气体反射回来,无法深入。就像敲击充满气的气球,只能听到清脆回声,却摸不透它的内部。因此,超声曾被认为“看不透肺”。但后来人们发现,当肺泡被炎性液体填充(肺实变),肺组织塌陷(肺不张),或胸膜腔出现积液时,病变区域的气体被液体或实变组织取代,使得原本被肺内气体阻挡的声波能够穿透病变区域,清晰显示病变内部结构。这些因病变产生的“边界信号”,构成了肺部超声诊断的基石。
需要强调的是,肺部超声不能直接观察健康的含气肺组织,而是通过分析胸膜线、A线等特定“伪像”,来评估肺与胸壁交界处的动态变化。此外,它也不同于常规胸部超声。胸部超声是更宽泛的概念,涵盖胸壁、肋骨、肺、胸膜、心脏等所有胸内及胸周结构;而肺部超声则聚焦于肺、胸膜及呼吸肌的评估,是胸部超声中极具针对性的重要分支。
哪些人需要做肺部超声
肺部超声虽好,但并非人人都需要常规检查。它更像是一把“侦察兵”的枪,在特定情况下才派上大用场。以下人群尤其适合做肺部超声。
急诊与重症患者:突发呼吸困难、胸痛、外伤者,医生可通过肺部超声快速判断他们有无气胸、胸腔积液或肺水肿。
术后或长期卧床者:帮助发现隐匿性肺炎、肺不张或血栓相关肺改变。
心功能不全或肾衰竭者:监测有无肺水肿及程度。
儿童与孕妇:无辐射,可反复评估肺部情况。
不明原因发热或感染指标高者:辅助诊断肺炎、胸膜炎。
做检查前要做哪些准备
检查前准备非常简单,检查者需穿着宽松衣物,配合医生调整坐位或卧位,平静呼吸即可。无需禁食、无需注射造影剂,也几乎没有禁忌证。
超声波会加重肺部疾病吗
这是受检者最关心的问题。答案很明确:肺部超声不会加重肺部疾病,它更像一位“温柔的侦察兵”,用声波传递信息却不留下任何“痕迹”。医用诊断超声能量极低,且完全不含辐射——它不靠“发射”有害物质,而是靠接收人体组织反射的声波回声来成像,就像“用耳朵听回声”。
目前没有任何医学证据表明,规范操作的肺部超声会对肺炎、气胸、肺水肿等肺部疾病造成不良影响,也不会损伤肺组织或干扰呼吸功能。相反,它可以安全地反复使用:无论是需要动态监测的重症患者,还是对辐射敏感的儿童、孕妇,都能放心接受超声检查。
肺部超声影像能看到什么
第一景:“海岸线与海浪”——胸膜线与A线
当声波穿过胸壁肋骨缝隙,首先会遇到紧贴肺表面的光滑薄膜——壁层胸膜和脏层胸膜。两者紧密相贴,中间没有多余的气体或液体。它们在屏幕上呈现为一条明亮、光滑的水平线,共同构成了胸膜线。这条线就是肺的“海岸线”。在它的下方,由于肺泡内大量气体对声波的强烈反射,会出现一系列与胸膜线平行的、等间距的、重复出现的明亮平行线,像海浪般不断向屏幕深处延伸,这就是A线(见下图)。A线是正常含气肺部的典型标志。它的存在直接提示肺表面含气充足,胸膜腔内无异常积液或气体。

▲图为正常新生儿肺部超声表现
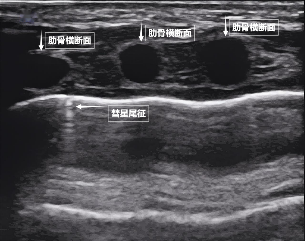
第二景:“沙滩与浪花”——肺滑动征
如果我们把超声图像调成实时动态模式,把“照片”变成“电影”,更神奇的一幕出现了。随着呼吸,胸膜线会随胸廓运动轻柔滑动,这就是“肺滑动征”。它意味着肺与胸壁正紧密相依、自由顺畅地呼吸。若肺与胸壁间有气胸或胸腔积液,这种滑动会消失。有时,在胸膜线下方还会出现细小的亮白色闪烁点,称为“彗星尾征”(见下图)。其少量、孤立出现时,通常是正常肺小叶间隔的反射,无需担心。

▲图为正常新生儿肺部超声表现
第三景:“呼吸的动力泵”的协同作战——呼吸肌肉
呼吸看似简单,实则是多组肌肉精密配合的“团体操”。肺部超声不仅能观察肺的形态,更能通过实时动态影像,“捕捉”这些呼吸肌的活动状态,为评估呼吸功能提供独特视角。膈肌是呼吸肌的“总指挥”,位于胸腔与腹腔之间。平静呼吸时,膈肌收缩下沉,胸腔容积扩大,空气自然吸入;舒张时,膈肌回升,肺部弹性回缩完成呼气。超声下可见膈肌呈光滑弧形,随呼吸规律上下移动(见下图)。肋间外肌则是“肋间隙的升降机”,收缩时上提肋骨,扩大胸腔前后径,辅助吸气。这对“黄金搭档”承担了日常呼吸70%以上的工作量,是维持呼吸的“主力军”。

▲图为正常膈肌超声表现
当身体需要更多氧气时(如上楼梯),斜角肌和胸锁乳突肌便会“增援”。在极端情况(如哮喘发作)下,腹壁肌群和肋间内肌会紧急出动。
肺部超声这位“侦察兵”,通过观察肌肉激活顺序、测量膈肌厚度与移动度、捕捉肌肉矛盾运动,动态评估呼吸肌肉的变化,早期发现呼吸系统“超负荷运转”的信号,为医生调整治疗方案提供精准依据。

融媒体平台建设服务
长江云 • 新时代文明实践平台

大数据舆情中心

